На Binance можно заработать 12,51% годовых за хранение KGST

В рамках промокампании на Binance можно заработать 12,51% годовых за хранение стейблкоинов Kyrgyz Som Stablecoin (KGST). С 3 февраля по 16 марта включительно биржа выплачивает бонус за вклады в KGST и начисляет дополнительно 10% годовых. Каждый пользователь торговой платформы может заблокировать с повышенной доходностью до 100,000 монет стоимостью $1,141 по текущему курсу. Как выяснила редакция …

Спотовые биткоин-ETF прервали серию оттоков, получив $562 млн

В понедельник 2 февраля спотовые биткоин-фонды зафиксировали чистый приток средств в размере $561,9 млн, прервав четырёхдневную серию оттоков и продемонстрировав самый высокий показатель однодневного притока с 14 января. Поступления в BTC-ETF произошли на фоне продолжающейся волатильности биткоина, который в тот же день упал примерно до $75,000, а затем поднялся до $78,500. Согласно данным SoSoValue, FBTC …

На Hyperliquid появится рынок прогнозов. HYPE вырос ещё на 20%

HYPE вырос на 20% после того, как разработчики HyperCore, основной инфраструктурой сети первого уровня Hyperliquid, заявили, что поддержат предложение HIP-4 по выходу на рынки прогнозов. Это позволит заключать полностью обеспеченные контракты на крупнейшей децентрализованной криптоплатформе для бессрочных фьючерсов Hyperliquid. Благодаря этому у трейдеров появится возможность делать ставки на политические выборы, спорт и другие рынки. В …

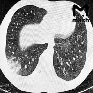
Троих зумеров экстренно доставили в реанимацию Ростовской области с попкорновой болезнью лёгких — которая развилась из-за постоянного курения вейпов

Ещё одно доказательство, что вейпы абсолютное зло… У 16-летнего пациента — серьёзная дыхательная недостаточность, потребовалась искусственная вентиляция лёгких. У другого — двусторонняя вейп-ассоциированная пневмония EVALI, врачи сделали операцию. Похожие случаи фиксируют и в других регионах России: первые в Москве в 2021-м, затем в Томске, где в прошлом году пострадали двое несовершеннолетних. Врачи говорят: электронки серьёзно …

Сенатор уверен – шахматами можно ударить по алкоголю и наркомании

Заявление сенатора Карякина Гроссмейстер — представитель Крыма в верхней палате российского парламента – рассказал о пользе, любимой им игры. В эфире телеканал «Крым 24» Сергей Карякин повторил известное, что шахматы развивают усидчивость, учат концентрировать внимание и влияют на интеллект. Но помимо этого, по его заверениям, «стопроцентно доказано о том, что те дети, которые занимаются шахматами, …

Узнав, что схема Долиной «умерла», бабуля умерла

Схема Долиной Пенсионерка продала квартиры, потом заявила, что на неё давили мошенники, вернула жильё и не вернула деньги. 84-летняя жительница Ульяновска поступила точь-в-точь как певица Лариса Долина, добавив от себя смену собственника своего жилья: после того как суд первой инстанции вернул ей проданные ею две квартиры – теперь ими владеют её родственники. Но узнав, что …

У протокола CrossCurve украли активы на $3 млн

Разработчики протокола кроссчейн-ликвидности CrossCurve (ранее EYWA) заявили об атаке на проект и призвали пользователей приостановить все взаимодействия с CrossCurve до завершения расследования. Злоумышленникам удалось вывести как минимум $3 млн в нескольких сетях. Хакерская атака произошла через обход проверки шлюза в контракте ReceiverAxelar, утверждают специалисты сервиса безопасности Defimon Alerts. Эксперты выяснили, что один из смарт‑контрактов CrossCurve …

Кийосаки рассказал, чем отличаются бедные и богатые инвесторы

Автор книги о личных финансах «Богатый папа, бедный папа» Роберт Кийосаки (Robert Kiyosaki) посоветовал своим читателям покупать золото, серебро, а также биткоин «со скидкой» — пока на рынке заметна просадка. По словам писателя, во время обвала рынка сильнее всего заметка разница между богатыми и бедными инвесторами. «Когда в Walmart распродажа, бедные спешат туда и покупают, …

Крупнейшему майнеру России BitRiver угрожает банкротство

Арбитражный суд Свердловской области постановил начать процедуру наблюдения против группы «Фокс» — владельца 98% крупнейшей российской майнинговой компании BitRiver. Долги группы оцениваются в $9,2 млн. Источники газеты «Коммерсантъ» говорят о скорой смене собственника бизнеса. Процедура наблюдения — подготовительный этап процедуры банкротства. Инициатором иска выступила компания «Инфраструктура Сибири» (структура группы металлургических и энергетических компаний En+), которая …

В документах Эпштейна появились новые подробности о криптовалютах: один из основателей пытался связаться с Эпштейном!

В некоторых электронных письмах, включенных в недавно опубликованные документы Джеффри Эпштейна, содержатся поразительные подробности контактов Эпштейна с первыми игроками в криптовалютном секторе. В документах особенно выделяются заявления, которые, как считается, потенциально связаны с эмитентом стейблкоина Tether (USDT). В электронном письме 2014 года предприниматель в сфере криптовалют Брок Пирс отправил Джеффри Эпштейну сообщение, в котором заявил …